Çocuklarda Pektus Hastalığı ve Erken Teşhis
Pektus hastalığı doğumsal bir anomali ve doğal olarak da pektus ile doğan bütün çocuklarda doğduğu sırada fark edilmesi ...
Tamamını Gör
Pektus hastalığı doğumsal bir anomali ve doğal olarak da pektus ile doğan bütün çocuklarda doğduğu sırada fark edilmesi ...
Tamamını Gör
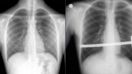
Nuss veya Abramson ameliyatı uygulayarak bar yerleştirdiğimiz Kunduracı Göğsü ve Güvercin Göğsü tanılı hastalarımızın ...
Tamamını Gör
Pektus hastalığı erken yaşlarda (16 yaşına kadar) fark edilirse, aileye ameliyat dışı yöntemleri öneriyoruz.Ortez ile ...
Tamamını Gör
Pektus Ekskavatum için uygulanan Vakum Tedavisi’nde her hasta için uygun Vakum Sistemi‘nin seçimi belli bir deneyim gerektirir...
Tamamını Gör
Tipik bir yüz görünümü, kafatasının aşırı büyüklüğü ile aşırı büyüme ve değişken zihinsel bozukluk ile karakterize...
Tamamını Gör
Sternal Kleft iman tahtasının embriyonik çağda embriyonik dönemde anne karnındayken her iki taraftan orta hatta ...
Tamamını Gör
Pektus Ekskavatum için uygulanan Vakum Tedavisi’nde her hasta için uygun Vakum Sistemi‘nin seçimi belli bir deneyim gerektirir...
Tamamını Gör
Pektum Ekskavatumda ameliyat dışı tedavileri denedikten sonra eğer başarısız kalıyorsak önce biz Nuss ameliyatını tavsiye ediyoruz ...
Tamamını Gör